
В норме, в течение судьбы, жёсткие ткани зубов подвергаются физиологической стираемости. При патологической стираемости, происходит интенсивная убыль жёстких тканей. Причем патологическая стираемость возможно как местная, другими словами наблюдаться в одном либо нескольких зубах, так и системная, в целой группе зубов.
Существует особая классификация данной патологии, которая разделяется по глубине поражения, по стадии развития, по плоскости поражения и по ее протяженности.При патологической стираемости жёстких тканей зуба, идет сперва стираемость эмали, а позже дентина.
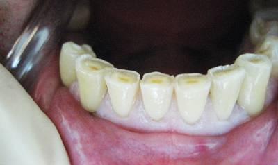
Так как эмаль более прочная структура, ее стирание идет на большое количество продолжительнее, чем стирание дентина, исходя из этого, в то время, когда происходит обнажение дентина, зуб утрачивает собственный количество на большое количество стремительнее. При, для того чтобы рода стираемости образуются острые края, каковые смогут причинять больному неудобства, травмируя слизистую и язык.
Так же, существенно страдает эстетический вид, не говоря уже о функциональных нарушениях. Если не проводится никакого лечения, то большим образом страдает ВНЧС (височно-нижнечелюстной сустав), появляются боли в его области, страдает слух.
Так же, при патологической стираемости зубов, появляется чувствительность к температурным раздражителям, а после этого и к химическим и механическим.Отдельным пунктом выделяют опытные вредные факторы, конечно недостаточную твердость зубных тканей, при таких болезнях как эндемический флюороз и гипоплазия.
По плоскости поражения, принято различать горизонтальную, вертикальную и смешанную плоскости.Переходная стадия, так же в пределах эмали, но частично затрагивает и дентин.Третья степень, при которой происходит укорочение коронковой части зуба более чем на 2/3 длины.Во-первых, при неправильном, патологическом прикусе.
В зависимости от патологии прикуса, стираемости смогут подвергаться, как фронтальная, так и жевательная группы зубов.Подобное явление отмечается у 12% людей, чаще у мужчин.
Вторая степень характеризуется укорочением длины коронковой части зуба от 1/3 до 2/3 длины.По стадии развития:
По глубине поражения различают три степени:В-четвертых, неправильные конструкции зубных протезов, так же смогут привести к излишнему стиранию жёстких тканей зуба.Первая степень характеризуется оголением дентина и полным стиранием эмали, не доходящее до экватора.Повышенная стадия проявляется в пределах дентина.
В-третьих, обстоятельством патологической стираемости может стать отсутствие некоторых зубов. В следствии, происходит элементарная перегрузка оставшихся и, в большинстве случаев, их стирание.Физиологическая стадия проявляется в пределах эмали.
Во-вторых, такое явление, как бруксизм (ночное скрежетание зубами,) ведет к повышенной стираемости зубов.По протяженности поражения, стираемость возможно ограниченной либо локализованной и генерализованной, другими словами распространенной.Обстоятельств, по которым может происходить убыль жёстких тканей зубов, возможно пара.Лечением аналогичного недуга, в зависимости от выраженности и стадии заболевания, занимается терапевтическая, конечно ортопедическая стоматология.
При своевременной профилактике, возможно задействована так же ортодонтическая стоматология, в том случае, если обстоятельством заболевания может стать неверный прикус. Профилактические мероприятия выполняют в зависимости от возраста, посредством ортодонтических пластин, капп либо брекетов.
Так, главная задача профилактики, по максимуму устранить негативные факторы, талантливые привести к заболеванию.